Профессиональная гигиена полости рта в Solo Clinic
Безболезненная профессиональная чистка с видимым эстетическим результатом уже после первой процедуры. Эффективно удаляем пятна и налет, безопасно очищаем от зубного камня даже чувствительные зубы, имплантаты и брекеты, предотвращая развитие кариеса и заболеваний десен.
Даже при тщательной ежедневной чистке зубов дома невозможно полностью удалить весь налет, особенно в труднодоступных местах. Со временем мягкий налет затвердевает и превращается в зубной камень, что создает идеальную среду для размножения бактерий.
В клинике Solo Clinic мы предлагаем несколько видов профессиональной гигиены, подбирая оптимальный вариант для каждого пациента. Наши процедуры не только придают зубам естественную белизну, но и укрепляют здоровье полости рта.
Профессиональная чистка зубов в Solo Clinic — это заметный эстетический результат уже после первого посещения. Мы бережно удаляем налет и пятна, очищаем зубы, имплантаты и брекеты, предотвращая кариес и воспаления десен.
Домашний уход не позволяет полностью избавиться от налета, особенно в труднодоступных зонах. Со временем он твердеет, превращаясь в зубной камень — благоприятную среду для бактерий.
В Solo Clinic мы подбираем подходящий метод гигиены для каждого пациента. Наши процедуры возвращают зубам естественную белизну и поддерживают здоровье полости рта.
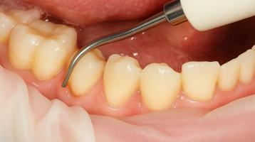
В Solo Clinic мы применяем комплексный подход к гигиене зубов, сочетая несколько методов очистки на одном оборудовании.
Аппарат бережно удаляет налет и камень даже в труднодоступных зонах, включая пространство под десной.
Дискомфорт сведен к минимуму: ультразвук автоматически регулируется, а вода и порошок подаются с точной дозировкой и комфортной температурой.
Инструменты проходят тщательную дезинфекцию и стерилизацию, что гарантирует безопасность и защиту от инфекций. Такой подход подходит для чувствительных зубов, имплантатов, коронок и брекетов.
Кабинеты оснащены оборудованием Planmeca, чтобы каждый пациент чувствовал себя спокойно и уверенно во время процедуры.
Процедура занимает от 40 до 60 минут — время зависит от состояния зубов и количества отложений.
Стоимость профессиональной гигиены в Solo Сlinic зависит от выбранного комплекса процедур:
Точную стоимость вы можете узнать в разделе «Цены» на нашем сайте или у администратора клиники.
Узнайте все о процедуре и получите индивидуальное предложение.