34 ب، شارع جيورجي ليونيدزي، 14 فاختانغ غورغوسالي، تبليسي 0105، جورجيا
34 ب، شارع جيورجي ليونيدزي، 14 فاختانغ غورغوسالي، تبليسي 0105، جورجيا
عرض على الخريطة
phone-icon +995 599 87 87 11
+995 599 87 87 95
من الإثنين إلى الجمعة من الساعة 9:00 صباحاً إلى الساعة 18:00 مساءً

Профессиональная гигиена полости рта в Solo Clinic

Безболезненная профессиональная чистка с видимым эстетическим результатом уже после первой процедуры. Эффективно удаляем пятна и налет, безопасно очищаем от зубного камня даже чувствительные зубы, имплантаты и брекеты, предотвращая развитие кариеса и заболеваний десен.

Даже при тщательной ежедневной чистке зубов дома невозможно полностью удалить весь налет, особенно в труднодоступных местах. Со временем мягкий налет затвердевает и превращается в зубной камень, что создает идеальную среду для размножения бактерий.

В клинике Solo Clinic мы предлагаем несколько видов профессиональной гигиены, подбирая оптимальный вариант для каждого пациента. Наши процедуры не только придают зубам естественную белизну, но и укрепляют здоровье полости рта.

Профессиональная чистка зубов в Solo Clinic — это заметный эстетический результат уже после первого посещения. Мы бережно удаляем налет и пятна, очищаем зубы, имплантаты и брекеты, предотвращая кариес и воспаления десен.
Домашний уход не позволяет полностью избавиться от налета, особенно в труднодоступных зонах. Со временем он твердеет, превращаясь в зубной камень — благоприятную среду для бактерий.

В Solo Clinic мы подбираем подходящий метод гигиены для каждого пациента. Наши процедуры возвращают зубам естественную белизну и поддерживают здоровье полости рта.

Виды профессиональной чистки зубов
advantages
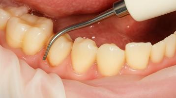
Ультразвуковая чистка

Ультразвуковой скалер деликатно удаляет зубной камень даже в труднодоступных местах, не повреждая эмаль. После процедуры поверхность зубов становится гладкой и дольше остается чистой.

advantages
Чистка Air Flow

Аппарат Air Flow очищает зубы струей воды с мелким абразивом, устраняя мягкий налет и пигментацию от кофе, чая и табака. Эмаль сохраняет целостность, а оттенок зубов становится светлее на 1–2 тона.

advantages
Комплексная профессиональная гигиена

Включает ультразвуковое удаление камня, чистку Air Flow, полировку и фторирование. Такой подход обеспечивает глубокую очистку и надежную защиту зубов и десен.

advantages Безболезненность

Процедура проходит мягко даже при повышенной чувствительности.

advantages Эстетика

Зубы светлеют на 1–2 тона уже после первого посещения.

advantages Забота о здоровье

Профилактика кариеса и заболеваний десен.

advantages Безопасность для зубных конструкций

Методика подходит для пломб, виниров, коронок и брекетов — мощность и температура воды регулируются с точностью.

advantages Говорим на вашем языке

Вы всегда будете понимать, что происходит во время лечения.

advantages Европейское оборудование

В работе — только сертифицированные технологии и проверенные методики.

В Solo Clinic мы применяем комплексный подход к гигиене зубов, сочетая несколько методов очистки на одном оборудовании.

Аппарат бережно удаляет налет и камень даже в труднодоступных зонах, включая пространство под десной.

Дискомфорт сведен к минимуму: ультразвук автоматически регулируется, а вода и порошок подаются с точной дозировкой и комфортной температурой.

Инструменты проходят тщательную дезинфекцию и стерилизацию, что гарантирует безопасность и защиту от инфекций. Такой подход подходит для чувствительных зубов, имплантатов, коронок и брекетов.

Кабинеты оснащены оборудованием Planmeca, чтобы каждый пациент чувствовал себя спокойно и уверенно во время процедуры.

Этапы профессиональной гигиены

Процедура занимает от 40 до 60 минут — время зависит от состояния зубов и количества отложений.

1 этап
Подготовка
Подготовка

Осмотр полости рта, оценка эмали и десен, определение проблемных участков.

2 этап
Окрашивание
Окрашивание

Окрашивание налета для точного выявления загрязнений.

3 этап
Удаление налета
Удаление налета

Удаление зубного камня и налета ультразвуком или методом Air Flow.

4 этап
Полировка
Полировка

Полировка зубов специальными пастами и насадками.

Стоимость профессиональной гигиены

Стоимость профессиональной гигиены в Solo Сlinic зависит от выбранного комплекса процедур:

Точную стоимость вы можете узнать в разделе «Цены» на нашем сайте или у администратора клиники.

Комплексная профессиональная гигиена полости рта
Комплексная профессиональная гигиена полости рта

от 5500 ₾

Профессиональная гигиена системой Air Flow
Профессиональная гигиена системой Air Flow

от 3600 ₾

Задайте вопрос врачу

Узнайте все о процедуре и получите индивидуальное предложение.